Dampak Mutasi pada Manusia - Mutasi adalah perubahan yang terjadi pada bahan genetik (DNA maupun
RNA), baik pada taraf urutan gen (disebut mutasi titik) maupun pada
taraf kromosom. Mutasi pada tingkat kromosomal biasanya disebut aberasi. Mutasi pada gen dapat mengarah pada munculnya alel baru dan menjadi
dasar munculnya variasi-variasi baru pada spesies. (wikipedia)
Manusia dalam kesehariannya banyak memanfaatkan salah satu mutagen yaitu radiasi untuk berbagai keperluannya. hal inilah yang menyebabkan terjadinya suatu mutasi dalam kehidupan manusia. Beberapa perbuatan manusia yang dapat menyebabkan terjadinya mutasi adalah penggunaan zat zat kimia radioaktif atau radioisotop, penggunaan sinar X untuk pengobatan atau penelitian, penggunaan bahan kimia di dalam makanan atau minuman, dan penggunaan bom radioaktif (bom atom)
Pada makhluk hidup, mutasi umumnya bersifat merugikan. Akan tetapi dalam beberapa hal, mutasi dapat bermanfaat atau menguntungkan untuk kehidupan manusia. diantaranya sebagai berikut :
Meskipun mutasi rata rata merugikan, namun dalam beberapa hal ada yang bermanfaat bagi manusia. Beberapa manfaat mutasi adalah sebagai berikut :
a. Sebagai proses penting untuk evolusi dan variasi genetik.
b. Untuk memeriksa proses proses biologis yang terjadi, misalnya penentuan urutan tahapan jalur metabolisme, transpor elektron pada fotosintesis, dan fiksasi nitrogen pada bakteri.
c. Meningkatkan hasil penisilin (sejenis antibiotik) yang dihasilkan oleh Penicillium.
d. Meningkatkan hasil panen produksi pangan seperti gandung, kacang tanah, tomat dan buah buahan poliploidi tanpa biji, dan sebagainya melalui mutasi buatan atau mutasi induksi.
Mutasi dapat merugikan makhluk hidup karena dapat menyebabkan terjadinya berbagai penyakit dan cacat. Bahkan mutasi dapat menyebabkan kematian. Penyakit yang disebabkan oleh mutasi contohnya adalah kanker. Kanker adalah sekelompok besar penyakit yang menunjukkan adanya pertumbuhan dan pembelahan sel yang tidak terkendali
Unsur unsur penyebab kanker disebut unsur karsinogenik. Di antara karsinogenik paling penting adalah berbagai bentuk radiasi. Contohnya penyinaran tiroid dengan sinar-X dapat menyebabkan kanker tiroid. Disamping itu, mutasi dapat menyebabkan terjadinya beberapa cacat atau kelainan pada manusia. Berikut ini cacat atau kelaian tersebut.
a. Sindrom Turner (45, XO)
Pada sindrom Turner kromosomnya terdiri atas 44 autosom dan 1 gonosom X. Kelainan ini ditemukan pada tahun 1938 oleh H.H Turner.
Ciri ciri penderita sindrom Truner antara lain sebagai berikut
1. Penderita adalah wanita
2. Tinggi badan cenderung pendek.
3. Tidak memiliki ovarium sehingga tidak subur (steril)
4. Ciri kelamin sekunder terbatas
5. Kaki berbentuk X
Baca juga:
b. Sindrom Klinefelter (47, XXY)
Pada sindrom Klinefelter terjadi penambahan kromosom X ekstra terhadap kromosom normal XY. kelainan ini ditemukan pada tahun 1942 oleh Klinefelter
Ciri ciri penderita sindrom Klinefelter antara lain sebagai berikut.
1. Penderita adalah laki laki
2. Ada kecenderungan kewanitaan terutama ciri kelainan sekunder.
3. Testil mengecil
4. Buah dada membesar
5. Rambut badan tidak tumbuh
6. Tinggi badan berlebih
7. Apabila jumlah kromosom X ;ebih dari dua maka akan mengalami keterbelakangan mental.
c. Sindrom Jacob (47, XXY)
Pada sindrom Jacob terjadi penambahan kromosom Y ekstra terhadap kromosom normal XY. Kelainan ini ditemukan pada tahun 1965 oleh P.A Jacobs
Ciri ciri penderita sindrom Jacob antara lain sebagai berikut.
1. Penderita adalah laki laki
2. Tinggi badan berlebihan
3. Intelegensi subnormal (IQ 80-95)
4. Bersifat antisosial sehingga menunjukkan agresivitas yang sering melawan hukum
d. Sindrom Down
Sindrom Down ditemukan pada tahun 1866 oleh J.Langdon Down. Keainan ini terjadi karena adanya tambahan kromosom pada kromosom no 21 (47, + 21)
Ciri ciri penderita sindrom Down antara lain sebagai berikut
1. Telapak tangan tebal seperti telapak kera
2. Tubuhnya pendek (+- 120CM)
3. Intelegensi (+- 40)
4. Mata sipit dan miring ke kiri
5. Bibir tebal.
6. Gigi kecil kecil dan jarang
Manfaat dan Kerugian Mutasi pada Manusia - Mungkin itu saja yang dapat saya sampaikan, kurang lebihnya mohon di maafkan karena saya juga manusia yang tak luput dari kesalahan. apabila kalian ingin menshare informasi ini kalian harus menambahkan link aktif ke web ini atau source. sekian dan terimakasih kepada buku kelas XII saya yang sudah memberikan informasi tersebut.
sumber artikel ini : buku pelajaran sekolah
Manusia dalam kesehariannya banyak memanfaatkan salah satu mutagen yaitu radiasi untuk berbagai keperluannya. hal inilah yang menyebabkan terjadinya suatu mutasi dalam kehidupan manusia. Beberapa perbuatan manusia yang dapat menyebabkan terjadinya mutasi adalah penggunaan zat zat kimia radioaktif atau radioisotop, penggunaan sinar X untuk pengobatan atau penelitian, penggunaan bahan kimia di dalam makanan atau minuman, dan penggunaan bom radioaktif (bom atom)
Pada makhluk hidup, mutasi umumnya bersifat merugikan. Akan tetapi dalam beberapa hal, mutasi dapat bermanfaat atau menguntungkan untuk kehidupan manusia. diantaranya sebagai berikut :
1. Manfaat Mutasi
Meskipun mutasi rata rata merugikan, namun dalam beberapa hal ada yang bermanfaat bagi manusia. Beberapa manfaat mutasi adalah sebagai berikut :
a. Sebagai proses penting untuk evolusi dan variasi genetik.
b. Untuk memeriksa proses proses biologis yang terjadi, misalnya penentuan urutan tahapan jalur metabolisme, transpor elektron pada fotosintesis, dan fiksasi nitrogen pada bakteri.
c. Meningkatkan hasil penisilin (sejenis antibiotik) yang dihasilkan oleh Penicillium.
d. Meningkatkan hasil panen produksi pangan seperti gandung, kacang tanah, tomat dan buah buahan poliploidi tanpa biji, dan sebagainya melalui mutasi buatan atau mutasi induksi.
2. Kerugian Mutasi
Mutasi dapat merugikan makhluk hidup karena dapat menyebabkan terjadinya berbagai penyakit dan cacat. Bahkan mutasi dapat menyebabkan kematian. Penyakit yang disebabkan oleh mutasi contohnya adalah kanker. Kanker adalah sekelompok besar penyakit yang menunjukkan adanya pertumbuhan dan pembelahan sel yang tidak terkendali
Unsur unsur penyebab kanker disebut unsur karsinogenik. Di antara karsinogenik paling penting adalah berbagai bentuk radiasi. Contohnya penyinaran tiroid dengan sinar-X dapat menyebabkan kanker tiroid. Disamping itu, mutasi dapat menyebabkan terjadinya beberapa cacat atau kelainan pada manusia. Berikut ini cacat atau kelaian tersebut.
a. Sindrom Turner (45, XO)
![]() |
| source img : https://www.emaze.com |
Pada sindrom Turner kromosomnya terdiri atas 44 autosom dan 1 gonosom X. Kelainan ini ditemukan pada tahun 1938 oleh H.H Turner.
Ciri ciri penderita sindrom Truner antara lain sebagai berikut
1. Penderita adalah wanita
2. Tinggi badan cenderung pendek.
3. Tidak memiliki ovarium sehingga tidak subur (steril)
4. Ciri kelamin sekunder terbatas
5. Kaki berbentuk X
Baca juga:
Macam Macam Mutasi Berdasarkan Materi Genetisnya
b. Sindrom Klinefelter (47, XXY)
Ciri ciri penderita sindrom Klinefelter antara lain sebagai berikut.
1. Penderita adalah laki laki
2. Ada kecenderungan kewanitaan terutama ciri kelainan sekunder.
3. Testil mengecil
4. Buah dada membesar
5. Rambut badan tidak tumbuh
6. Tinggi badan berlebih
7. Apabila jumlah kromosom X ;ebih dari dua maka akan mengalami keterbelakangan mental.
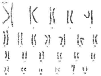
c. Sindrom Jacob (47, XXY)
![]() |
| source img : https://geneticmutationsperiod6.wikispaces.com/ |
Pada sindrom Jacob terjadi penambahan kromosom Y ekstra terhadap kromosom normal XY. Kelainan ini ditemukan pada tahun 1965 oleh P.A Jacobs
Ciri ciri penderita sindrom Jacob antara lain sebagai berikut.
1. Penderita adalah laki laki
2. Tinggi badan berlebihan
3. Intelegensi subnormal (IQ 80-95)
4. Bersifat antisosial sehingga menunjukkan agresivitas yang sering melawan hukum
d. Sindrom Down
| source img : wikipedia |
Sindrom Down ditemukan pada tahun 1866 oleh J.Langdon Down. Keainan ini terjadi karena adanya tambahan kromosom pada kromosom no 21 (47, + 21)
Ciri ciri penderita sindrom Down antara lain sebagai berikut
1. Telapak tangan tebal seperti telapak kera
2. Tubuhnya pendek (+- 120CM)
3. Intelegensi (+- 40)
4. Mata sipit dan miring ke kiri
5. Bibir tebal.
6. Gigi kecil kecil dan jarang
Manfaat dan Kerugian Mutasi pada Manusia - Mungkin itu saja yang dapat saya sampaikan, kurang lebihnya mohon di maafkan karena saya juga manusia yang tak luput dari kesalahan. apabila kalian ingin menshare informasi ini kalian harus menambahkan link aktif ke web ini atau source. sekian dan terimakasih kepada buku kelas XII saya yang sudah memberikan informasi tersebut.
sumber artikel ini : buku pelajaran sekolah



